精准放疗触手可及

uRT-linac 306以同源双束的高清图像引导、全智能的放疗技术平台,覆盖智能勾画、计划、治疗与质控等全闭环流程,提升放疗同质化水平,让高端医疗惠及更多生命。

成就类kV级CBCT成像

深度调能成像技术

实现高效精准工作流

全智能平台

提升区域精准放疗同质化水平

智慧放疗云

先进精准放疗系统

高性能硬件配置

0.5mm等中心精度
超大544°机架旋转范围
120叶动态高分辨MLC
1400MU/min FFF剂量率

一体化软件系统

一体化数据库
数字化控制系统
GPU加速蒙特卡罗剂量算法

精准放疗技术

全面支持uARC®优弧®
动静态IMRT
非共面等高端放疗技术

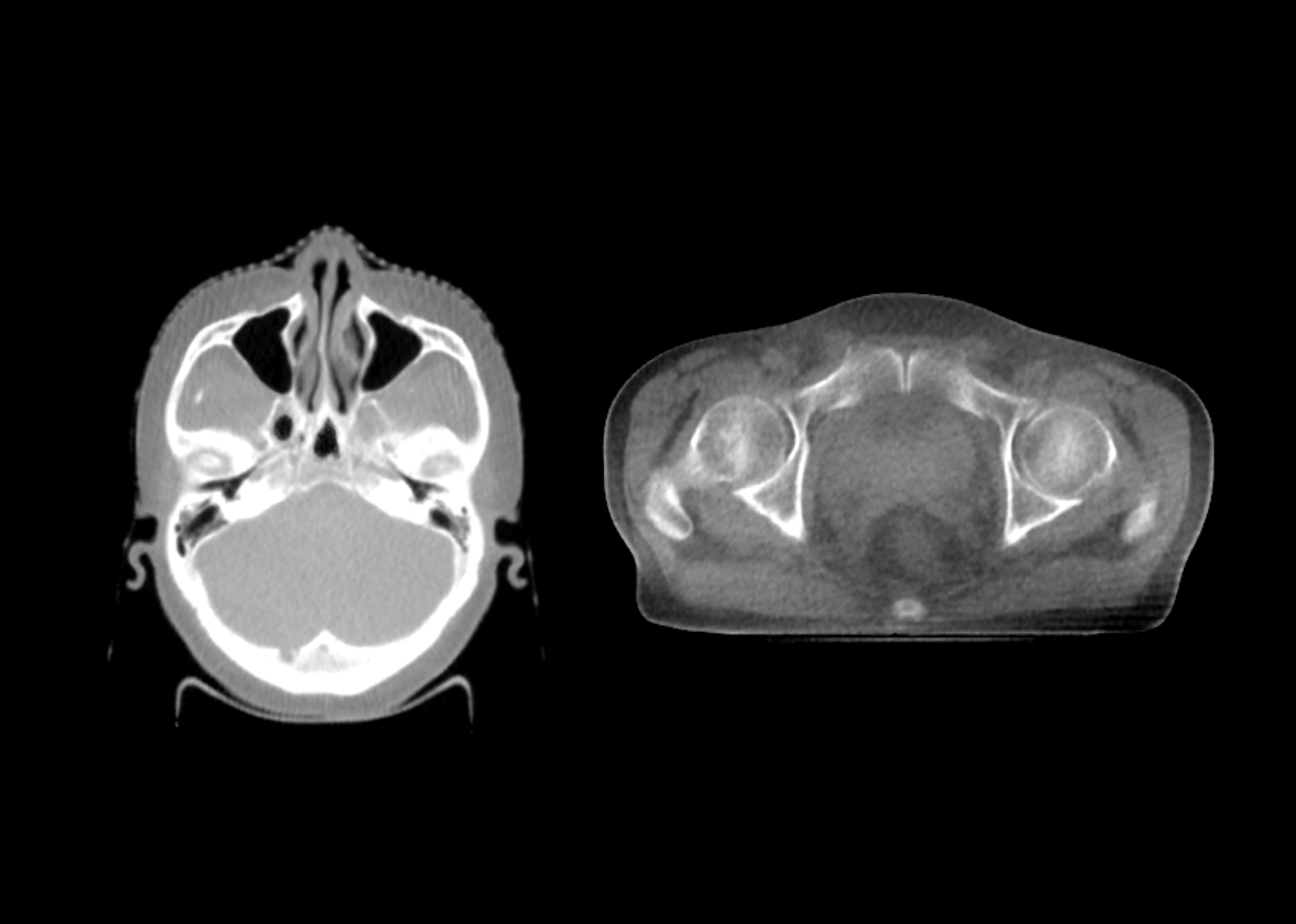
深度调能类kV级CBCT图像

类kV级成像

1.5MeV电子束打靶,使得千伏级成像光子占比更大,图像质量媲美常规kV级CBCT。

同源双束,高引导精度

影像引导成像束流与治疗束流同一等中心,带来更高的图像引导精度。

流程自动化

一键CBCT成像,自动配准,自动移床,自动避撞,高度自动化,有效提升效率。

智慧放疗平台

智能勾画

智能危及器官与靶区秒级勾画。覆盖全身100+个危及器官勾画模型及肺癌、直肠癌、宫颈癌等靶区勾画模型。

自动计划

基于三维剂量预测、自动优化调整等多策略选择,支持一键式自动计划,包括自动勾画、布野、优化,提高放疗计划制作效率和质量一致性。

智能质控

智能EPID质控系统,快速、精确、操作简单,覆盖设备质控、计划质控、治疗中实时剂量监测与预警及治疗后三维剂量重建。

智能治疗

创新优迹®智能轨迹规划,智能规划射野排序与部件运动路径;虚拟三维碰撞预警系统,实时监测患者治疗过程中的安全情况。

智慧放疗云

以远程放疗互联互通平台,助力高水平放疗经验与策略快速下沉,
提升区域精准放疗同质化水平,打造集技术交流、临床拓展、协同创新、人才升维的智慧放疗云平台。